二次元裏@ふたば
[ホーム]

[掲示板に戻る]
レス送信モード
おなまえ
E-mail
題  名
コメント
添付File []
削除キー(削除用.英数字で8字以内)

画像ファイル名:1770171474162.jpg-(370654 B)
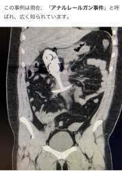
370654 B無念Nameとしあき26/02/04(水)11:17:54No.1384816612そうだねx1 22:59頃消えます
直腸内に長さ20センチ砲弾「自分で入れた」男性、仏病院が治療
爆発物処理班も大変やな
https://news.infoseek.co.jp/article/afpbb_3620779/
1無念Nameとしあき26/02/04(水)11:20:40No.1384816989そうだねx14
遅報
2無念Nameとしあき26/02/04(水)11:24:22No.1384817503そうだねx3
マジかよアルバニア人最低だな
3無念Nameとしあき26/02/04(水)11:24:48No.1384817555そうだねx4
ヨーロッパの火薬庫になりたくて
4無念Nameとしあき26/02/04(水)11:28:51No.1384818095そうだねx4
そんなことのために爆発物処理の勉強したんじゃないのにな…
5無念Nameとしあき26/02/04(水)11:31:40No.1384818521+
>ヨーロッパの火薬庫になりたくて
コソボ紛争…
6無念Nameとしあき26/02/04(水)11:33:22No.1384818752+
入ってた物が物だけに「たまたま座った所に砲弾があって…」はきかなかったか
7無念Nameとしあき26/02/04(水)11:33:23No.1384818753そうだねx7
>直腸内に長さ20センチ砲弾「自分で入れた」男性
正直に言えてエライ
たまたま尻もちをついた拍子に入る訳ないもんな
8無念Nameとしあき26/02/04(水)11:34:52No.1384818983そうだねx5
>そんなことのために爆発物処理の勉強したんじゃないのにな…
肛門科の医者が「俺はこんなことをするために医者になったんじゃないよ!」と嘆くってネタがよくあるけど
肛門科の医者にとって異物摘出は通常業務のひとつだと思う
9無念Nameとしあき26/02/04(水)11:42:08No.1384820056+
スリルを楽しみたいならジョロキアソースの瓶とかで勝手にやれ
10無念Nameとしあき26/02/04(水)11:45:26No.1384820567+
酔ってて座薬に見えたとか言っとけばいいのに
11無念Nameとしあき26/02/04(水)11:46:45No.1384820763そうだねx3
やめるのだ!そこはうんちを出し入れする穴なのだ!
12無念Nameとしあき26/02/04(水)11:55:01No.1384822054そうだねx2
何でお尻の穴に何でも入れたがるの?
13無念Nameとしあき26/02/04(水)11:55:03No.1384822065+
気持ちよさそう
14無念Nameとしあき26/02/04(水)11:55:42No.1384822166+
>自分で入れた
???
15無念Nameとしあき26/02/04(水)11:55:43No.1384822171そうだねx2
チャレンジ精神があるな
16無念Nameとしあき26/02/04(水)11:58:10No.1384822567+
>肛門科の医者にとって異物摘出は通常業務のひとつだと思う
授業でアホな例を見せてるだろうしな
その日は笑い声が絶えない素晴らしい日なんだろうぜ
17無念Nameとしあき26/02/04(水)11:59:19No.1384822760+
まずその砲弾どこで入手したの
18無念Nameとしあき26/02/04(水)12:08:16No.1384824314+
正直でよろしい
19無念Nameとしあき26/02/04(水)12:08:23No.1384824330+
恋人を庇ったか
20無念Nameとしあき26/02/04(水)12:09:40No.1384824585+
自爆テロ
21無念Nameとしあき26/02/04(水)12:10:51No.1384824796そうだねx1
>コソボ紛争…
糞争ってね…ふふっ
22無念Nameとしあき26/02/04(水)12:12:32No.1384825171+
南斗人間砲弾‼️
23無念Nameとしあき26/02/04(水)12:12:57No.1384825246+
入れるのに都合のいい形とサイズだったがまさか本当に砲弾だと思わなかったとかそういう感じだろうか?
24無念Nameとしあき26/02/04(水)12:14:37No.1384825571+
座薬の形も同じだしね
25無念Nameとしあき26/02/04(水)12:32:23No.1384829466+
    1770175943084.jpg-(70095 B)
70095 B
キタ━━━(゚∀゚)━━━!!
26無念Nameとしあき26/02/04(水)12:36:46No.1384830483+
コォーモンガー
27無念Nameとしあき26/02/04(水)12:38:24No.1384830889そうだねx1
色んな言い訳のパターンがありそう
28無念Nameとしあき26/02/04(水)12:39:12No.1384831076+
頭の中に時限爆弾が(メンタル的な意味で)
29無念Nameとしあき26/02/04(水)12:40:11No.1384831307+
お尻で

遊んでは

いけません
30無念Nameとしあき26/02/04(水)12:40:58No.1384831486+
症例報告とか見ると想像を遥かに上回る変態が世界にはゴロゴロいて震えるぜ
31無念Nameとしあき26/02/04(水)12:41:19No.1384831565そうだねx1
>>コソボ紛争…
>糞争ってね…ふふっ
ボスノアナ・イレルゼナニカ
32無念Nameとしあき26/02/04(水)12:43:21No.1384832034そうだねx1
よかった…俺はまだまともなほうなんだ
33無念Nameとしあき26/02/04(水)12:44:51No.1384832385そうだねx2
>よかった…俺はまだまともなほうなんだ
何を入れた
言え
34無念Nameとしあき26/02/04(水)12:45:34No.1384832528そうだねx1
    1770176734054.jpg-(30735 B)
30735 B
いいトコでヤメるつもりが取り返しのつかない状況に追い込まれるのいいよね…
35無念Nameとしあき26/02/04(水)12:46:54No.1384832776+
>肛門科の医者にとって異物摘出は通常業務のひとつだと思う
通常とは一体…
36無念Nameとしあき26/02/04(水)12:47:13No.1384832849+
入りやすくて出しにくい形だもんね
37無念Nameとしあき26/02/04(水)12:47:48No.1384832954+
>No.1384832528
ウヌもまた“挿入れし者”か…
38無念Nameとしあき26/02/04(水)12:50:17No.1384833474+
オレはもう卒業したよ
39無念Nameとしあき26/02/04(水)12:52:11No.1384833853+
入門しないで
40無念Nameとしあき26/02/04(水)12:55:54No.1384834637+
うんこを出し入れする穴で遊ばないで
41無念Nameとしあき26/02/04(水)13:01:06No.1384835614+
    1770177666152.jpg-(21044 B)
21044 B
キタ━━━(゚∀゚)━━━!!
42無念Nameとしあき26/02/04(水)13:02:51No.1384835888そうだねx2
    1770177771209.jpg-(63470 B)
63470 B
>1770177666152.jpg
43無念Nameとしあき26/02/04(水)13:05:09No.1384836241+
尻もちだよ尻もち
うっかり転んだら弾丸がそこに運悪く置いてやがった
ついてないぜ
44無念Nameとしあき26/02/04(水)13:06:43No.1384836486+
戦争は変わった
45無念Nameとしあき26/02/04(水)13:08:45No.1384836824+
    1770178125219.jpg-(128719 B)
128719 B
なぜ肛門に異物を入れてしまうのか
46無念Nameとしあき26/02/04(水)13:12:45No.1384837463そうだねx3
>なぜ肛門に異物を入れてしまうのか
バズ・ライトイヤー
47無念Nameとしあき26/02/04(水)13:14:05No.1384837683そうだねx3
    1770178445453.jpg-(105481 B)
105481 B
48無念Nameとしあき26/02/04(水)13:15:19No.1384837865そうだねx1
ナイスアス!
49無念Nameとしあき26/02/04(水)13:15:51No.1384837948+
>なぜ肛門に異物を入れてしまうのか
「そこに穴があるからさ」
としあき卿は快活に笑うと次の砲弾に手を伸ばした
50無念Nameとしあき26/02/04(水)13:15:52No.1384837951+
こうもんで

あそびましょう
51無念Nameとしあき26/02/04(水)13:16:09No.1384838008+
砲弾負けてない?
52無念Nameとしあき26/02/04(水)13:17:20No.1384838197+
何者かに後ろから撃たれた
53無念Nameとしあき26/02/04(水)13:17:45No.1384838266+
>直腸内に長さ20センチ砲弾「自分で入れた」男性、仏病院が治療
直径はどのくらいだったのだろうか
54無念Nameとしあき26/02/04(水)13:17:55No.1384838284そうだねx2
    1770178675587.png-(57987 B)
57987 B
キタ━━━(゚∀゚)━━━!!
55無念Nameとしあき26/02/04(水)13:18:19No.1384838345+
ちんこをねじ切る程のケツ圧なんじゃよ
56無念Nameとしあき26/02/04(水)13:18:29No.1384838359+
さらには旧式の砲弾を入れるに至る
57無念Nameとしあき26/02/04(水)13:19:16No.1384838493そうだねx1
これドイツに賠償請求できる?
58無念Nameとしあき26/02/04(水)13:19:30No.1384838527+
バズの造形ってわかりやすいんだなぁ
59無念Nameとしあき26/02/04(水)13:20:19No.1384838657+
お尻から装填して口から射出するイメージ
60無念Nameとしあき26/02/04(水)13:20:56No.1384838757+
ちがいます!!
爆発する危険性がある砲弾から仲間を守る為に入れたんです!
61無念Nameとしあき26/02/04(水)13:21:04No.1384838786+
>なぜ肛門に異物を入れてしまうのか
鍵は取り出せないと困るな
62無念Nameとしあき26/02/04(水)13:22:02No.1384838942+
    1770178922024.jpg-(374574 B)
374574 B
フランスでは砲弾を肛門に挿入する男がいた
一方虹裏ではブラギガスを肛門に挿入する男がいた
63無念Nameとしあき26/02/04(水)13:23:32No.1384839185+
>一方虹裏ではブラギガスを肛門に挿入する男がいた
首パーツだけならまあ分かる
64無念Nameとしあき26/02/04(水)13:24:11No.1384839297+
ジョルジェ・マルティノヴィッチ事件
肛門にガラス瓶を入れて自慰行為を繰り返していたオッサンのせいで
ユーゴスラビア紛争が始まったのはあまりにも有名な話である
拷問されたんだ!拷問に違いない!
オッサンは自慰行為と言い出せずに…
65無念Nameとしあき26/02/04(水)13:25:08No.1384839491+
>>一方虹裏ではブラギガスを肛門に挿入する男がいた
>首パーツだけならまあ分かる
ぜんぶ入ったら世界びっくり人間の番組に出れるな
66無念Nameとしあき26/02/04(水)13:25:56No.1384839628+
>ぜんぶ入ったら世界びっくり人間の番組に出れるな
出たくねえ…
67無念Nameとしあき26/02/04(水)13:27:45No.1384839918+
口から剣を入れるパフォーマンスはTVとかでも見るけど
尻から入れるのは絵にならんな
68無念Nameとしあき26/02/04(水)13:28:29No.1384840049+
>>自分で入れた
>???
敵国のやつに入れられてたら戦争だからな
69無念Nameとしあき26/02/04(水)13:34:06No.1384840964+
戦場で仲間を守る為に覆い被さったら何故か肛門に入っちゃったんだな
70無念Nameとしあき26/02/04(水)13:44:58No.1384842664+
>いいトコでヤメるつもりが取り返しのつかない状況に追い込まれるのいいよね…
良いトコでヤメたからこうなったんじゃ無いですかね?
71無念Nameとしあき26/02/04(水)13:46:11No.1384842871+
>ジョルジェ・マルティノヴィッチ事件
>肛門にガラス瓶を入れて自慰行為を繰り返していたオッサンのせいで
>ユーゴスラビア紛争が始まったのはあまりにも有名な話である
>拷問されたんだ!拷問に違いない!
>オッサンは自慰行為と言い出せずに…
中国で起きそうな野獣解放戦線とどっちが汚いか勝負だ!
72無念Nameとしあき26/02/04(水)13:49:38No.1384843441+
    1770180578746.jpg-(182639 B)
182639 B
>戦場で仲間を守る為に
いざという時の為に仕込んでおこうと思ったんだよな
73無念Nameとしあき26/02/04(水)13:50:52No.1384843633+
>入ってた物が物だけに「たまたま座った所に砲弾があって…」はきかなかったか
イギリスはそれで通した
元兵隊の爺さんが砲弾コレクションしててやらかしてる
今回はフランスだからダメだったんだろうかね
74無念Nameとしあき26/02/04(水)13:52:06No.1384843813+
ダイナマイトを腹に巻くやり方はあるけど尻穴はメジャーではない
75無念Nameとしあき26/02/04(水)14:00:13No.1384845108+
肛門でも自分で入れたと言うと保険がおりないから足を滑らせてとか事故ってことにするって聞いた
76無念Nameとしあき26/02/04(水)14:02:13No.1384845432+
鉛を肛門から摂取とかアルコールよりやばいんじゃないの
77無念Nameとしあき26/02/04(水)14:05:36No.1384845986+
じゃあ今から肛門に入れて口から出すマジックやりまーす
78無念Nameとしあき26/02/04(水)14:09:24No.1384846569+
セルフ北斗神拳
79無念Nameとしあき26/02/04(水)14:12:20No.1384846996+
何故入れようと思った…
80無念Nameとしあき26/02/04(水)14:15:59No.1384847581そうだねx2
    1770182159480.jpg-(93552 B)
93552 B
キタ━━━(゚∀゚)━━━!!
81無念Nameとしあき26/02/04(水)14:20:09No.1384848217そうだねx1
>何故入れようと思った…
たまたま座ったところに砲弾が・・・
82無念Nameとしあき26/02/04(水)14:26:39No.1384849207+
肛門科の先生は爆発物処理もせないかんのか?
83無念Nameとしあき26/02/04(水)14:26:43No.1384849214+
月マガで季節の食べ物ケツに突っ込む妖精のおっさんいたよね
84無念Nameとしあき26/02/04(水)14:27:39No.1384849347そうだねx1
>No.1384847581
写ってますね〜
元気な女の子ですよ〜
85無念Nameとしあき26/02/04(水)14:28:59No.1384849560+
>肛門科の先生は爆発物処理もせないかんのか?
取り出すものが多岐にわたるから専門も多岐にわたる…
86無念Nameとしあき26/02/04(水)14:29:58No.1384849727+
>1770182159480.jpg
もうねんどろいどじゃなくてうんころいどだね
87無念Nameとしあき26/02/04(水)14:32:51No.1384850175+
    1770183171658.jpg-(496545 B)
496545 B
>肛門科の先生は爆発物処理もせないかんのか?
スプラッタを見せられたり大変なお仕事だよ
88無念Nameとしあき26/02/04(水)14:33:52No.1384850326+
人間が爆弾になれるなんて知らなかったよ
89無念Nameとしあき26/02/04(水)14:40:42No.1384851257+
    1770183642836.jpg-(54523 B)
54523 B
もうなんの情報も出てこないけど、春の筍、秋の松茸やイガ栗をドーンってケツで味わう変態がいたはず
90無念Nameとしあき26/02/04(水)14:41:39No.1384851409+
お風呂で尻もちをついた
なぜかお風呂に偶然あったペットボトルが狙ったように肛門に刺さった
よくあるケースだそうだな
うんよくあるケースだな
91無念Nameとしあき26/02/04(水)14:45:58No.1384852039+
この先端のへたり具合がもううんこ
92無念Nameとしあき26/02/04(水)14:58:50No.1384853858そうだねx1
再放送
93無念Nameとしあき26/02/04(水)15:00:26No.1384854097+
親戚に救急受け入れもやってる病院に勤めてる看護師の人がいるけど
この手の肛門遺物挿入患者は月に1回くらいの割合で来るらしい
いるもんなんだな
94無念Nameとしあき26/02/04(水)15:08:27No.1384855509+
    1770185307236.jpg-(161205 B)
161205 B
穴があったらいれるのが本能
95無念Nameとしあき26/02/04(水)15:09:19No.1384855657+
    1770185359056.jpg-(127586 B)
127586 B
キタ━━━(゚∀゚)━━━!!
96無念Nameとしあき26/02/04(水)15:19:12No.1384857376+
>1384855657
「アナルプラグを装着したままで入ろうとしたのです」
いやほんとなぜ
97無念Nameとしあき26/02/04(水)15:32:16No.1384859487+
尻に爆弾を抱えていてな
98無念Nameとしあき26/02/04(水)15:34:44No.1384859904+
アナルアーセナル・・・ってコト?
99無念Nameとしあき26/02/04(水)15:37:35 ID:vcIi3iL6No.1384860343+
webm銅\
100無念Nameとしあき26/02/04(水)15:38:31No.1384860502+
取り返しがつかなくてヤバいほど興奮するってのはわからんでもないから
不発弾アナニーエロとかその究極系なのかな
101無念Nameとしあき26/02/04(水)15:43:32No.1384861283+
肛門というのはうんこと屁を区別して個別に排出する機能を持つ高尚な器官なんですよ
その肛門になんてことさせてるんですか
102無念Nameとしあき26/02/04(水)15:49:51No.1384862303+
    1770187791459.jpg-(301919 B)
301919 B
>肛門というのはうんこと屁を区別して個別に排出する機能を持つ高尚な器官なんですよ
>その肛門になんてことさせてるんですか
実際替えがきかない大事な器官でダメになったらまともな排泄が出来なくなるのに
なぜ粗末に扱う人がこうも多いのか
103無念Nameとしあき26/02/04(水)15:51:38No.1384862574+
肛門は性器じゃない
5cm以上の拡張やってると露骨に縦割れになるしチンポぐらいの太さでもうっすら縦になるなった

- GazouBBS + futaba-