二次元裏@ふたば
[ホーム]

[掲示板に戻る]
レス送信モード
おなまえ
E-mail
題  名
コメント
添付File []
削除キー(削除用.英数字で8字以内)

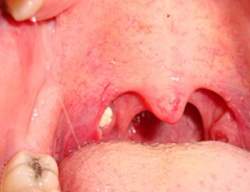
画像ファイル名:1773559872544.png-(167554 B)
167554 B無念Nameとしあき26/03/15(日)16:31:12No.1394055161+ 22:04頃消えます
臭い玉スレ
女の子にもあると思うとえっちだよね
1無念Nameとしあき26/03/15(日)16:31:56No.1394055327+
    1773559916099.mp4-(4257247 B)
4257247 B
キタ━━━(゚∀゚)━━━!!
2無念Nameとしあき26/03/15(日)16:31:57No.1394055328そうだねx4
    1773559917058.mp4-(781317 B)
781317 B
キタ━━━(゚∀゚)━━━!!
3無念Nameとしあき26/03/15(日)16:34:39No.1394055897+
喉に出来るなら喉クソとか喉カスみたいな名前になりそうなのに
臭い玉って妙な名前が定着してるの不思議
4無念Nameとしあき26/03/15(日)16:35:57No.1394056229そうだねx5
歳取ったら出なくなった
5無念Nameとしあき26/03/15(日)16:36:08No.1394056277+
粉瘤?
6無念Nameとしあき26/03/15(日)16:36:46No.1394056434+
多分俺にもあるんだろうけど言われないと気付かないよね
7無念Nameとしあき26/03/15(日)16:40:59No.1394057362+
アリの巣にあげた
8無念Nameとしあき26/03/15(日)16:41:48No.1394057552+
最近無いわ
9無念Nameとしあき26/03/15(日)16:45:39No.1394058333そうだねx2
>1773559916099.mp4
発音が「く埼玉」なのが気になる
10無念Nameとしあき26/03/15(日)16:46:10No.1394058434そうだねx2
>喉に出来るなら喉クソとか喉カスみたいな名前になりそうなのに
>臭い玉って妙な名前が定着してるの不思議
嗅ぐと臭い玉という名前以外
候補に上がらなくなるぐらい臭いからだな
11無念Nameとしあき26/03/15(日)16:48:25No.1394058925+
>粉瘤?
膿栓
12無念Nameとしあき26/03/15(日)16:53:12No.1394059964+
くさたま!
13無念Nameとしあき26/03/15(日)16:53:23No.1394060012+
どんなに口開けても視認できない
めっちゃ奥にあるんかな?
14無念Nameとしあき26/03/15(日)16:53:42No.1394060090そうだねx1
子供の頃に扁桃腺とアデノイド摘出してるから無い
15無念Nameとしあき26/03/15(日)16:53:55No.1394060126そうだねx12
>アリの巣にあげた
🟡🐜<ヴォエ
16無念Nameとしあき26/03/15(日)16:55:57No.1394060605+
できにくい人もいるから
万人にあるわけではないって聞いた
17無念Nameとしあき26/03/15(日)16:57:00No.1394060857+
>どんなに口開けても視認できない
>めっちゃ奥にあるんかな?
溝に入ってるから目視できるのは相当でかいやつだよ
18無念Nameとしあき26/03/15(日)16:57:19No.1394060946+
鼻風邪引くとめっちゃできる
鼻水が原料なのだろうか
19無念Nameとしあき26/03/15(日)16:57:54No.1394061082+
ベロの先端を折り曲げて口開けてグリグリやって除去してる
20無念Nameとしあき26/03/15(日)16:58:57No.1394061326+
扁桃腺が膿んだらその部分が腐って穴が開く
そこにらご飯の食べかすが入り込んで腐るから臭う
21無念Nameとしあき26/03/15(日)17:01:54No.1394061987+
風呂はいるときにシャワーうがいすればできない
22無念Nameとしあき26/03/15(日)17:04:26No.1394062569+
昔出てた記憶があるけど
今でないんだよな
23無念Nameとしあき26/03/15(日)17:04:54No.1394062679そうだねx1
気付かずに飲んでる人絶対いるよね…
24無念Nameとしあき26/03/15(日)17:06:21No.1394063009+
この間久々に出てきた
25無念Nameとしあき26/03/15(日)17:08:46No.1394063596+
出る直前の一週間くらいは口の中臭くなるのに気づかないとかあるのか
26無念Nameとしあき26/03/15(日)17:11:09No.1394064154そうだねx2
としあきばっかりズルい俺も出したいのにできたこと無い!
27無念Nameとしあき26/03/15(日)17:13:19No.1394064703そうだねx1
>としあきばっかりズルい俺も出したいのにできたこと無い!
気付いてないだけ
28無念Nameとしあき26/03/15(日)17:16:54No.1394065579+
出し方ちょっとコツいるよね
慣れたら予感も掴める
29無念Nameとしあき26/03/15(日)17:18:25No.1394065947+
つかのどに穴があるのバグだろ
30無念Nameとしあき26/03/15(日)17:20:39No.1394066518+
>1773559916099.mp4
結局正体は?
31無念Nameとしあき26/03/15(日)17:22:50No.1394067106+
一度くしゃみしたら大きいのが出てきて
あれ?俺ガム噛んでたっけ???となったことがある
32無念Nameとしあき26/03/15(日)17:23:10No.1394067194+
>1773559917058.mp4
ひぃぃぃ
33無念Nameとしあき26/03/15(日)17:58:30No.1394076434+
>としあきばっかりズルい俺も出したいのにできたこと無い!
俺も扁桃腺を切除してるから出来ないわ残念無念
34無念Nameとしあき26/03/15(日)18:06:48No.1394078438そうだねx1
見たことないけど気づかずに飲み込んでるってこと?
35無念Nameとしあき26/03/15(日)18:06:48No.1394078440+
扁桃腺取ったから見たことない
36無念Nameとしあき26/03/15(日)18:12:06No.1394079667+
たまにド派手にくしゃみした時飛び出すのこれなんかな
37無念Nameとしあき26/03/15(日)18:15:27No.1394080403+
扁桃腺って必要あんのか
38無念Nameとしあき26/03/15(日)18:21:16No.1394081753+
ネットで知るまで存在知らなかったわ口臭い人ってドブの臭いするけど
あれうがいとかでなんとかならないの?
39無念Nameとしあき26/03/15(日)18:24:53No.1394082644+
>ネットで知るまで存在知らなかったわ口臭い人ってドブの臭いするけど
>あれうがいとかでなんとかならないの?
胃とか内臓をやられてるパターンとか
親知らずが悪さしてる例とか様々あるので…
40無念Nameとしあき26/03/15(日)18:29:50No.1394083854+
タバコ始めたら一日一個くらい出来ている気がする
41無念Nameとしあき26/03/15(日)18:32:34No.1394084510+
膿栓
逆流性食道炎の診察受ける前はよくできた
42無念Nameとしあき26/03/15(日)18:38:06No.1394085763+
濃栓のせいで扁桃腺が肥大中
嚥下の際の違和感が続き
医者に相談しても扁桃腺の役割りの方が優位とされ
切除して貰えない
43無念Nameとしあき26/03/15(日)18:41:57No.1394086658そうだねx1
>ネットで知るまで存在知らなかったわ口臭い人ってドブの臭いするけど
>あれうがいとかでなんとかならないの?
大抵は内臓由来だからうがいや歯磨きでは無理
虫歯由来だともちろん無理
44無念Nameとしあき26/03/15(日)18:49:59No.1394088643+
>大抵は内臓由来だからうがいや歯磨きでは無理
>虫歯由来だともちろん無理
今の時代クスリで治らないの?酷いとまともに会話するのイヤになるくらい臭いじゃない
45無念Nameとしあき26/03/15(日)18:52:27No.1394089237+
>今の時代クスリで治らないの?酷いとまともに会話するのイヤになるくらい臭いじゃない
一応サクロフィールという薬があるけど
2時間ぐらいしか効かないんだ
しかもお値段けっこうする
46無念Nameとしあき26/03/15(日)19:01:54No.1394091834+
実は知らずに飲んでた方が免疫力が上がる
みたいなことはないんだろうか
47無念Nameとしあき26/03/15(日)19:03:48No.1394092343+
体の免疫が頑張った残骸
48無念Nameとしあき26/03/15(日)19:13:39No.1394094979+
>鼻風邪引くとめっちゃできる
>鼻水が原料なのだろうか
細菌やウイルスに食べカスとかだね
扁桃が細菌やウイルスを退治した後の死骸が扁桃の表面のくぼみにたまって塊になる
口呼吸による口の乾燥や慢性的な扁桃炎に慢性鼻炎なども出来やすい原因ではある
49無念Nameとしあき26/03/15(日)19:17:04No.1394095914+
この前歯磨き中に何かの食べかすかと思って噛んだらこれで地獄だった
50無念Nameとしあき26/03/15(日)19:20:05No.1394096689+
二十歳くらいまでは時々出たんだけど
オッサンになってからは全然出なくなって少し寂しい
51無念Nameとしあき26/03/15(日)19:21:54No.1394097169+
    1773570114518.jpg-(76120 B)
76120 B
>ネットで知るまで存在知らなかったわ口臭い人ってドブの臭いするけど
>あれうがいとかでなんとかならないの?
フロスやってみ?Y字がオススメ
カスがドブ臭くて引くぞ
52無念Nameとしあき26/03/15(日)19:28:52No.1394099015+
>扁桃腺って必要あんのか
扁桃腺って要は「赤ちゃんでもできる!始めての免疫スターターキット!」みたいなもんで
自前の免疫が完成したら要らなくなってその後一生物置に入れておくようなもんなのよ
でもコロナみたいな未知の感染症が流行すると突然必要になるかもしれない
え!扁桃腺捨てちゃったんですか!?みんな持ってるのに!じゃああなた死ぬしかないですよ
みたいなことが起きる可能性もあるから扁桃腺無い俺はコロナ中まあまあビビってた
扁桃腺を切る=みんなが保管してるものを捨てちゃった、ということ

- GazouBBS + futaba-