二次元裏@ふたば
[ホーム]

[掲示板に戻る]
レス送信モード
おなまえ
E-mail
題  名
コメント
添付File []
削除キー(削除用.英数字で8字以内)

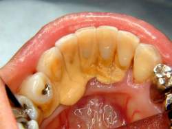
画像ファイル名:1774234301431.jpg-(43917 B)
43917 B無念Nameとしあき26/03/23(月)11:51:41No.1395802899そうだねx1 24日02:09頃消えます
歯石除去スレ
どうせならこの位溜めてから行きたいよね
削除された記事が4件あります.見る
1無念Nameとしあき26/03/23(月)11:52:05No.1395802958+
    1774234325606.jpg-(73386 B)
73386 B
アフター
2無念Nameとしあき26/03/23(月)11:54:54No.1395803361そうだねx19
そこまで溜めたら歯槽膿漏で歯が…
3無念Nameとしあき26/03/23(月)11:55:29No.1395803433+
23歳でこれはいけませんか?
4無念Nameとしあき26/03/23(月)11:57:02No.1395803647そうだねx27
>23歳でこれはいけませんか?
問題ないと思えるなら歯じゃなくて脳に障害あると思う
5無念Nameとしあき26/03/23(月)11:58:40No.1395803886そうだねx19
    1774234720661.png-(508128 B)
508128 B
>23歳でこれ
6無念Nameとしあき26/03/23(月)11:59:56No.1395804068そうだねx2
歯石もだが金属冠多用してる時点で・・・
7無念Nameとしあき26/03/23(月)12:00:00No.1395804082+
銀歯いれてるのにさらにここまでたまるってことは相当できやすい体質だな
8無念Nameとしあき26/03/23(月)12:01:16No.1395804277そうだねx1
体質と言うか単に磨かないだけでは・・・

歯医者は大喜びのカモやぞ
9無念Nameとしあき26/03/23(月)12:02:21No.1395804462そうだねx12
>体質と言うか単に磨かないだけでは・・・
>
>歯医者は大喜びのカモやぞ
歯石除去なんてたいした金額も取れないしべつにカモではないかな…
10無念Nameとしあき26/03/23(月)12:04:49No.1395804883+
「痛かったら手を挙げてください」と言われなくなって辛い
11無念Nameとしあき26/03/23(月)12:05:36No.1395805011+
インプラント入れてるから3ヶ月おきに歯医者いってるけど
大体こびりついてるのを削るだけで終わる
12無念Nameとしあき26/03/23(月)12:06:02No.1395805087そうだねx1
>アフター
これ歯肉戻るの?
骨も溶けまくってそう
13無念Nameとしあき26/03/23(月)12:09:14No.1395805662+
なんでこんなもんつけるの
親の教育か
14無念Nameとしあき26/03/23(月)12:09:58No.1395805804+
朝晩は口の中ミントですっきりさせたくないか?
アクアフレッシュ最高やぞ
15無念Nameとしあき26/03/23(月)12:16:26No.1395807026そうだねx1
角栓もだけどどうやったらこんなん風になる生活になるんだ?
普通に生活してたらならんでしょ
16無念Nameとしあき26/03/23(月)12:24:20No.1395808565そうだねx2
歯を磨かずコーラや炭酸ジュースばっかり飲んでたら
歯が溶けることも知っといて
17無念Nameとしあき26/03/23(月)12:24:56No.1395808690そうだねx1
そりゃ銀歯だらけになるわ
18無念Nameとしあき26/03/23(月)12:27:36No.1395809238+
失礼な、コーラなど飲まぬわ
ポカリとカルピスが好きなだけや

歯ブラシはなんか親父がくれた黒い毛のやつ
柔らかくてええんや
19無念Nameとしあき26/03/23(月)12:29:28No.1395809600そうだねx2
歯石で歯を支えてるようなの好き
20無念Nameとしあき26/03/23(月)12:52:45No.1395814417そうだねx1
いつ親父がくれたのか知らんけど長くても1ヶ月おき位に変えた方がいいぞ
21無念Nameとしあき26/03/23(月)12:58:47No.1395815547+
馬の毛かな
高級品だ
22無念Nameとしあき26/03/23(月)13:01:16No.1395815970+
>>体質と言うか単に磨かないだけでは・・・
>>
>>歯医者は大喜びのカモやぞ
>歯石除去なんてたいした金額も取れないしべつにカモではないかな…
歯石除去だけで済むと思うか?
23無念Nameとしあき26/03/23(月)13:03:20No.1395816303+
引きニートだと歯磨きしなくなるからこうなるんだよね
24無念Nameとしあき26/03/23(月)13:08:24No.1395817089そうだねx1
スレッドを立てた人によって削除されました
https://www.pref.shimane.lg.jp/medical/kenko/kenko/shika/shika_kenshinhyo.html
明らかに拾ってきた画像だけど
23歳ってのはどこから?
25無念Nameとしあき26/03/23(月)13:09:52No.1395817298+
あと歯石があると歯茎の骨が後退して抜けやすくなる
26無念Nameとしあき26/03/23(月)13:09:57No.1395817313そうだねx1
スレッドを立てた人によって削除されました
>https://www.pref.shimane.lg.jp/medical/kenko/kenko/shika/shika_kenshinhyo.html
>明らかに拾ってきた画像だけど
>23歳ってのはどこから?
歯肉戻らないんだな
27無念Nameとしあき26/03/23(月)13:11:36No.1395817580+
近所の歯医者は歯石取りがめっちゃ乱暴で2日3日歯茎が痛いままで困る
28無念Nameとしあき26/03/23(月)13:12:40No.1395817718そうだねx1
数年前だけど何十年かぶりに歯医者に行ったとき歯石取りだけで四回通ったぜ
29無念Nameとしあき26/03/23(月)13:14:19No.1395817972+
歯石部分の顕微鏡写真見せられてゾッとした
なんかいっぱいいた
30無念Nameとしあき26/03/23(月)13:14:26No.1395817983そうだねx2
虫歯はなったこと無いが唾液が多いらしくて
含まれるカルシウムで歯石が付きやすいと言われた
31無念Nameとしあき26/03/23(月)13:15:39No.1395818169そうだねx1
これ歯を長時間磨いてないってことだよな?
一日二日で出来るとは思えんし
32無念Nameとしあき26/03/23(月)13:16:45No.1395818334+
こんな塊で取れたら歯石を齧ってみたい
33無念Nameとしあき26/03/23(月)13:17:23No.1395818431そうだねx2
>こんな塊で取れたら歯石を齧ってみたい
ポロッと取れたやつシャリシャリして歯ごたえいいよね
34無念Nameとしあき26/03/23(月)13:18:14No.1395818556+
寝たきりとかになって歯のケア受けてない人はなりやすいのでは
35無念Nameとしあき26/03/23(月)13:18:28No.1395818597そうだねx1
>>こんな塊で取れたら歯石を齧ってみたい
>ポロッと取れたやつシャリシャリして歯ごたえいいよね
今日一気持ち悪くなった…
36無念Nameとしあき26/03/23(月)13:18:42No.1395818633+
>虫歯はなったこと無いが唾液が多いらしくて
>含まれるカルシウムで歯石が付きやすいと言われた
40くらいまでそうだったが最近急に虫歯ができた
ショックだ
37無念Nameとしあき26/03/23(月)13:18:43No.1395818637+
>これ歯を長時間磨いてないってことだよな?
>一日二日で出来るとは思えんし
普段食べるものにもよるんじゃないかな
糖質中心だと歯にこびりつきやすいだろうし生野菜や果物を定期的に摂取していれば歯に残りにくそうだし
38無念Nameとしあき26/03/23(月)13:20:07No.1395818839+
>40くらいまでそうだったが最近急に虫歯ができた
>ショックだ
他人から移されたか?
39無念Nameとしあき26/03/23(月)13:20:52No.1395818951+
歯の磨き方を間違って覚えてたせいで溜まるようになってたみたいだ
虫歯で歯医者に行った時に一緒に歯石も除去してくれたけど、血まみれになったもん
40無念Nameとしあき26/03/23(月)13:21:12No.1395819006+
10年後は総入れ歯
41無念Nameとしあき26/03/23(月)13:22:35No.1395819226+
全身のがんリスクが跳ね上がる
42無念Nameとしあき26/03/23(月)13:22:41No.1395819240+
多少の出血は歯茎の血行が良くなると言われたが歯医者の言い訳かもしれない
43無念Nameとしあき26/03/23(月)13:23:14No.1395819322+
取ってもらわないと歯間はやっぱり溜まる
歯間ブラシとか使えば違うんだろうけど
44無念Nameとしあき26/03/23(月)13:24:24No.1395819482+
認知症発症のリスクも増える
45無念Nameとしあき26/03/23(月)13:25:17No.1395819624+
>多少の出血は歯茎の血行が良くなると言われたが歯医者の言い訳かもしれない
鬱血してる血が出てるんだから改善するだろ
46無念Nameとしあき26/03/23(月)13:26:30No.1395819833+
>多少の出血は歯茎の血行が良くなると言われたが歯医者の言い訳かもしれない
普段磨きが甘くて歯槽膿漏になってるなら
悪い血を出しつつ新しい血で補修させたほうが良さそうな気はする
47無念Nameとしあき26/03/23(月)13:26:59No.1395819924+
スレッドを立てた人によって削除されました
>No.1395804277
>No.1395809238
クソジジイきめぇわ
48無念Nameとしあき26/03/23(月)13:27:18No.1395819978+
>虫歯はなったこと無いが唾液が多いらしくて
>含まれるカルシウムで歯石が付きやすいと言われた

アラフォーになって人生初歯医者行って歯石取ってもらったけど1ヶ月後に再診時にもう付いとる!って驚かれた
49無念Nameとしあき26/03/23(月)13:29:47No.1395820356そうだねx1
スレッドを立てた人によって削除されました
>念
きっしょ
50無念Nameとしあき26/03/23(月)13:30:31No.1395820480+
>アラフォーになって人生初歯医者行って歯石取ってもらったけど
俺もそのクチで概念が無いもんだからわからなくて
歯石が工事みたいだった
51無念Nameとしあき26/03/23(月)13:32:10No.1395820741+
>歯石部分の顕微鏡写真見せられてゾッとした
>なんかいっぱいいた
俺も見せられた
これは梅毒の菌ですね
52無念Nameとしあき26/03/23(月)13:32:40No.1395820813+
>俺もそのクチで概念が無いもんだからわからなくて
>歯石が工事みたいだった
俺は自分でピックみたいなの使って取ってたんだけどやっぱプロは違うね
53無念Nameとしあき26/03/23(月)13:33:18No.1395820902+
スレ画はいいサンプルでは
歯茎が下がって歯の根本が見えてる
54無念Nameとしあき26/03/23(月)13:33:28No.1395820921+
唾液がやたらと出てくるんだな
55無念Nameとしあき26/03/23(月)13:35:07No.1395821165そうだねx1
歯石除去動画いいよね
56無念Nameとしあき26/03/23(月)13:37:49No.1395821509+
>>アフター
>これ歯肉戻るの?
>骨も溶けまくってそう
>歯石除去動画いいよね
デカい塊がガロッとれてなおかつあまり出血しないやつが良い
57無念Nameとしあき26/03/23(月)13:38:32No.1395821607+
>歯石部分の顕微鏡写真見せられてゾッとした
>なんかいっぱいいた
そこに住む菌が骨を溶かすって言ってた気がする
58無念Nameとしあき26/03/23(月)13:38:42No.1395821635+
ホラースレ
59無念Nameとしあき26/03/23(月)13:40:09 ID:sHgjYyX6No.1395821873+
    1774240809123.jpg-(722071 B)
722071 B
1日3回10分以上かけて歯磨きしてるから綺麗だ
夜はデンタルフロスもやっている
60無念Nameとしあき26/03/23(月)13:41:00No.1395821991そうだねx7
>ID:sHgjYyX6
うんこ臭
61無念Nameとしあき26/03/23(月)13:42:58No.1395822267+
大きな声では言えないが口の中を女に掃除や、治療でいじられるの好き
62無念Nameとしあき26/03/23(月)14:26:40No.1395828707+
YouTubeの動画とかみると歯石取ったあと
なんか食ったらすぐ抜けそうなくらい歯がガタガタになってるけど
あれはあのあとなんか処理してるんだろうか
63無念Nameとしあき26/03/23(月)14:34:11No.1395829753+
>No.1395821873
1日3回はすごいな
俺は晩御飯の後にフロスと歯磨きするだけだわ
64無念Nameとしあき26/03/23(月)14:36:33No.1395830098+
麻酔かかっていたとはいえ奥歯の二股の間までコリコリされたときはちょっと楽しかった
65無念Nameとしあき26/03/23(月)14:40:26No.1395830646+
スレ画かなり歯並びいい方なのにマジで勿体ないな
66無念Nameとしあき26/03/23(月)14:41:25No.1395830772そうだねx1
歯肉は毎日歯磨きとかでマッサージしたら戻るそうだ
老人なら知らん
67無念Nameとしあき26/03/23(月)14:44:04No.1395831115+
粉瘤動画と同じで気持ち悪いけど気持ちいい
68無念Nameとしあき26/03/23(月)14:44:48No.1395831197+
ガシガシ磨くと炎症慢性化して癌になる
69無念Nameとしあき26/03/23(月)14:51:44No.1395832067+
AI動画なのか
やたら歯石がボロボロ出てくる動画がたまにある

- GazouBBS + futaba-